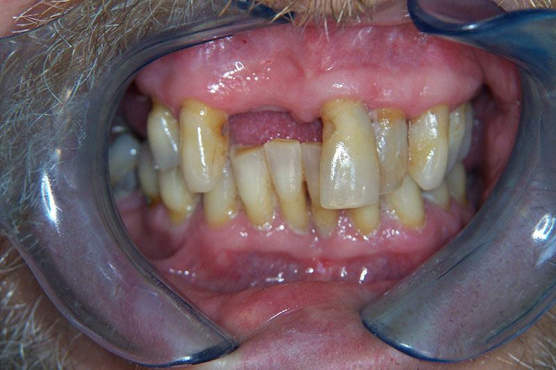
Our comprehensive dental services in Mobile, Alabama, are designed to help you achieve your smile goals. Take a look at the smiles that Dr. Alexandra Brown and Dr. Donald Brown have made possible at Knollwood Dental Group. Our dentists and team are here to guide you toward your best smile. Call us at 251-666-3982 to get started!

























